Product
´Ù¿ÃÆÒÅÒ Á¦Ç°À» ¼Ò°³ÇÕ´Ï´Ù.
Anthropomorphic Phantom
| Á¦¸ñ | DOG Phantom |
|
Dog (Canine) Phantom for X-Ray CT, US, MRI
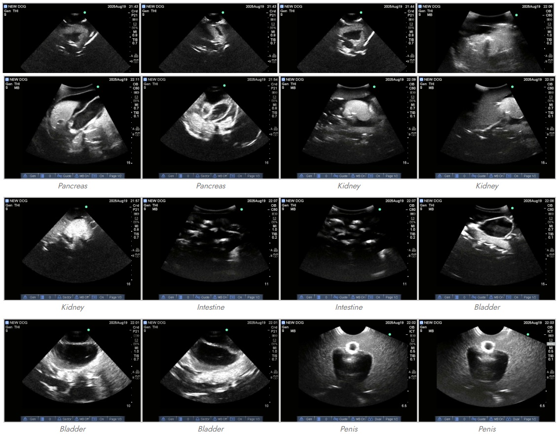
![]() Dog/Canine PhantomÀº ¼öÀÇÇÐ ±³À° ÇöÀåÀÇ ½ÇÁúÀûÀÎ ¿ä±¸¿Í ½Ç¹« ÀÓ»ó ÈÆ·ÃÀ» ÃæÁ·Çϱâ À§ÇØ ¼¼½ÉÇÏ°Ô ¼³°èµÇ¾ú½À´Ï´Ù. ƯÈ÷ ¿¢½º·¹ÀÌ ÃÔ¿µ À§Ä¡ ¼±Á¤ ½Ç½ÀÀ» À§ÇØ °³¼±µÈ °üÀý ¿¬°á ±¸Á¶¸¦ äÅÃÇÔÀ¸·Î½á, ÀÌÀü ¸ðµ¨ ´ëºñ ºñ¾àÀûÀÎ ¹ßÀüÀ» ÀÌ·ç¾î³Â½À´Ï´Ù. ÀÌ ¸ðµ¨ÀÇ ÇØºÎÇÐÀû ¼³°è´Â ºÒ ¸¶½ºÆ¼ÇÁ¿Í ·ÎµðÁö¾È ¸®Áö¹é ¹Í½º°ß(¼öÄÆ)ÀÇ ½ÇÁ¦ CT µ¥ÀÌÅͼÂÀ» ±â¹ÝÀ¸·Î Á¦À۵Ǿî, µ¶º¸ÀûÀÎ ÇØºÎÇÐÀû »ç½Ç¼ºÀ» º¸ÀåÇÕ´Ï´Ù. ¶ÇÇÑ, ÃÖ÷´Ü AI ±â¼ú°ú °íµµÈµÈ ¾Ë°í¸®ÁòÀ» Ȱ¿ëÇÏ¿© ¸Å¿ì º¹ÀâÇϰí Á¤¹ÐÇÑ ÇØºÎÇÐÀû ±¸Á¶¸¦ ÃßÃâÇϰí, À̸¦ °æÀÌ·Î¿î ¼öÁØÀÇ Á¤È®µµ·Î ÀçÇöÇØ ³Â½À´Ï´Ù. 🐕 Â÷¼¼´ë °ßü ÆÒÅÒ (Canine Phantom): ¼öÀÇÇÐ ±³À° ¹× ¿¬±¸ÀÇ »õ·Î¿î ±âÁØ ¼öÀÇÇÐ ±³À°, ¿¬±¸ ¹× ÀÓ»ó ½Ç½ÀÀÇ °íµµÈµÈ ¿ä±¸»çÇ×À» ÃæÁ·Çϱâ À§ÇØ ¼³°èµÈ À̹ø ÃֽŠCanine PhantomÀº ÇØºÎÇÐÀû »ç½Ç¼º°ú ÈÆ·ÃÀÇ ´Ù°¢È Ãø¸é¿¡¼ »õ·Î¿î ÀÌÁ¤Ç¥¸¦ Á¦½ÃÇÕ´Ï´Ù. º» ¾÷±×·¹ÀÌµå ¸ðµ¨Àº ij³ª´Ù, ¹Ì±¹, ¿µ±¹, È£ÁÖÀÇ ÁÖ¿ä ¼öÀÇÇÐ ±â°üµé°úÀÇ Çù¾÷À» ÅëÇØ °³¹ßµÇ¾úÀ¸¸ç, Àü ¼¼°è Àü¹®°¡µéÀÇ Çǵå¹éÀ» ¹Ý¿µÇÏ¿© ÀÌÀü ¸ðµ¨º¸´Ù ´ëÆø Çâ»óµÈ ¼º´ÉÀ» ÀÚ¶ûÇÕ´Ï´Ù. 🔬 Á¤¹ÐÇÑ ¼³°è¿Í Çõ½ÅÀû ±â¼ú
🌟 ÁÖ¿ä °³¼± »çÇ× (Key Enhancements)
💡 ±¤¹üÀ§ÇÑ È°¿ë ¹× MRI ÀûÇÕ¼º º» ¸ðµ¨Àº ÃÊÀ½ÆÄ À̹Ì¡ºÎÅÍ ¿¢½º·¹ÀÌ ÃÔ¿µ À§Ä¡ ¼±Á¤ ½Ç½À±îÁö Æø³ÐÀº ±³À° ºÐ¾ß¸¦ Áö¿øÇϸç, Â÷¼¼´ë ¼öÀÇÇÐ Àü¹®°¡ ¾ç¼ºÀ» À§ÇÑ ÇʼöÀûÀÎ µµ±¸ÀÔ´Ï´Ù. ƯÈ÷ MRI Ȱ¿ë¿¡ ÀÖ¾î ´ÙÀ½°ú °°Àº ¶Ù¾î³ ¼º´ÉÀ» º¸ÀÔ´Ï´Ù:
![]() ![]() ![]() ![]() ![]() |
|
| Ä«Å×°í¸® | µ¿¹°¸ðÇü |
| ¹®ÀÇÇϱâ |









